Nel distretto di Galatina il maggior numero di tumori al polmone

Nel distretto di Galatina il maggior numero di tumori al polmone

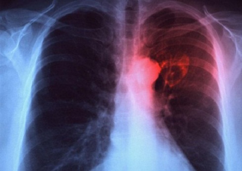
Sono 50 i comuni dell’area centrale salentina dove l’Istituto superiore di sanità (Iss) ha individuato un eccesso di tumori del polmone nei maschi, 3.846 decessi registrati, contro i 3.447 attesi. Il tasso di incidenza più elevato a Sogliano Cavour. Ma non va meglio a Soleto, Zollino e Castrì. In quest’area della provincia di Lecce la mortalità ha presentato un conto salato. Sono ben 67 i comuni che presentano un rischio superiore alla media nazionale. Fa eccezione il comune di Guagnano. Per le femmine tutti i comuni sono nella media, eccetto Lecce dove i decessi sono stati 248 rispetto ai 150 attesi.
Ogni anno in provincia di Lecce vengono diagnosticati 4mila nuovi casi di tumori (dati del 2014). Secondo i dati 2012 dell’Iss nella nostra provincia la mortalità per tutte le possibili cause, inclusi i tumori, è in linea con il dato atteso e paragonabile con altre aree del Sud Italia.
Ad eccezione di due criticità: i tumori del polmone e i tumori della vescica nei maschi oltre che per la prostata (quest’ultimo in linea con le altre province dell’Italia meridionale).
Per le donne, si registra un aumento di mortalità per le leucemie e per i tumori dello stomaco, dell’utero e del colon-retto. Tassi  superiori ai valori attesi si registrano nelle donne anche per malattie non oncologiche quali le malattie dell’apparato respiratorio.
Il tavolo interistituzionale tra Asl Lecce, Arpa, Provincia e Comune di Lecce, Inail,  Regione Puglia e gli enti di ricerca come l'Universita del Salento ed il Cnr ha evidenziato un’elevata incidenza di tumori polmonari nel sesso maschile. Dati poi confermati anche per il periodo 2006-2009 dall'Osservatorio Epidemiologico Regionale (Oer) e dal rapporto di mortalita ISTISAN per l’ anno 2012. Nel 2014 a Taranto l’Iss, evidenziava dei «cluster» di mortalita e incidenza per tumore polmonare in aree ben definite del Salento.
Una conferma che viene anche dallo studio Protos (Repol) attualmente in corso di realizzazione su circa 1.500 soggetti individuati in base ai dati del registro tumori, delle Commissioni Invalidi Civili, degli ospedali e dell’Anagrafe Assistiti. Per questo studio la Asl ha stanziato una prima somma di 30mila euro.
La «bestia nera» del tumore polmonare ha disegnato una poco invidiabile classifica che pone al vertice il distretto di Galatina, seguito da quelli di Poggiardo, Casarano e Maglie.
Uno studio dell’Iss dell’incidenza di tumori polmonari nei maschi ha evidenziato un cluster ben definito che include 16 Comuni dell’area centrale salentina (355 casi confermati contro 285 attesi) comprendenti i Comuni di Galatina, Galatone, Secli, Neviano, Aradeo, Collepasso, Cutrofiano, Sogliano, Soleto, Sternatia, Zollino, Maglie, Melpignano, Castrignano dei Greci, Corigliano.
Il Report presentato lunedì al museo Castromediano di Lecce si articola su 6 distinte sezioni (acqua, suolo, aria, dati epidemiologici, agenti fisici, stili di vita).

Nei prossimi giorni Salute Salento www.salutesalento.it pubblicherà i report per ogni comune e per ogni patologia.